Article Type
Research Article
Published
March 02, 2026
Open Access
Yes
1General Surgey Resident, Faculty of Medicine Andalas University/Dr. M Djamil Hospital, Padang, Indonesia 2Digestive Surgery, Faculty of Medicine Andalas University/Dr. M Djamil Hospital, Padang, Indonesia 3Anatomical Pathology, Faculty of Medicine Andalas University, Padang, Indonesia
*Corresponding author: Handyka Milfiadi, General Surgey Resident, Faculty of Medicine Andalas University/Dr. M Djamil Hospital, Padang, Indonesia
Citation: Milfiadi H, Firdaus M, Irwan, Rivai MI, Suchitra A (2025) The Effect of Intraperitoneal Platelet Rich Plasma (PRP) Heterologous Administration on Hepatocyte Mitotic Index and Ki-67 Proliferation Index of the Rats Post Partial Hepatectomy: An In Vivo Study. Glob J Surg Surgical Res 1(1): 56-64.
Received Date: 10 May 2025; Accepted Date: 20 May 2025; Published Date: 23 May 2025
Background: Liver surgery (hepatectomy) has evolved from a high mortality complex procedure to a routine standardized operation in the last two decades. Liver surgery is one of the most complex surgical interventions with high risk and potential for complications. Post Hepatectomy Liver Failure (PHLF) is a serious complication of liver surgery that occurs in about 10% of patients undergoing major liver surgery. It is the main source of morbidity and mortality. Platelet-Rich Plasma (PRP), which has a higher concentration of platelets than the baseline value, has the potential role in regenerative therapy including in the liver regeneration. But the effect of PRP on liver regeneration is still unclear.
Objectives: The aim of this study is to determine the effect of intraperitoneal Platelet Rich Plasma (PRP) Heterologous on hepatocyte mitotic index and Ki-67 proliferation index of rats after partial hepatectomy.
Methods: This study was an In Vivo experimental study using 18 rats, which were divided into 3 group, negative control (sham procedure), positive control (hepatectomy was performed but PRP was not given) and the treatment group (hepatectomy was performed and PRP was given). Observation of the condition of the liver was carried out histopathological in Laboratory.
Results: There is a significant association between intraperitoneal administration of PRP and increase of hepatocyte mitotic index (p = 0.001) and there is also significant association between giving intraperitoneal administration of PRP and increase of Ki-67 proliferation index (p= 0.03) of the rats after partial hepatectomy.
Conclusion: Intraperitoneal administration of PRP heterologous increases the mitotic index and Ki-67 proliferation of the rats after partial hepatectomy
Keywords: Hepatocytes, Mitotic index; Partial hepatectomy; Platelet rich plasma; Proliferation index; Wistar rats
The liver is a gland in the body that plays a crucial role in the body's metabolic functions by secreting both endocrine and exocrine substances [1]. Over the past 10 years, a classic curative modality has been developed, namely liver resection, with a mortality rate of less than 3%. (3) Liver resection can be performed considering normal liver function, compensated cirrhosis, and no evidence of portal hypertension [2]. Liver surgery is one of the most complex surgical interventions with high risk and potential for complications. Post Hepatectomy Liver Failure (PHLF) is a serious complication of liver surgery that occurs in about 10% of patients undergoing major liver surgery [2]. Platelet-Rich Plasma (PRP), which has a higher concentration of platelets than the baseline value, plays a role in regenerative treatment plans for liver resection [3]. PRP contains 5 times more thrombosis compared to baseline plasma levels and includes autologous growth factors such as Vascular Endothelial Growth Factor (VEGF), Insulin-Like Growth Factor (IGF), Platelet-Derived Growth Factor (PDGF), and Transforming Growth Factor (TGF)-1), as well as proteins and peptides (fibrinogen, fibronectin, osteonectin, osteocalcin, vitronectin, and thrombospondin), specific chemokines, and cytokines (e.g., IL-1 and platelet factor 4) at high concentrations. Consequently, PRP has been widely used in wound healing, cellular mitogenesis, osteogenesis, and angiogenesis [4].
Liver regeneration is one of the most important steps in modern surgery. This regeneration process continues until the liver regains its original mass [5]. The liver reaches its original size within 3-6 months in adults and less than 3 months in children after liver resection [1]. Liver regeneration is associated with molecular-level cell division. Cell division is a fundamental process of cell growth. The activity of cell growth correlates with mitotic activity, which can be measured by manually counting the number of mitotic cells within the desired cell population, known as the mitotic index. The mitotic index can objectively assess the rate of growth without being influenced by other factors [6]. The administration of PRP in post-hepatectomy liver cell growth yields varying results. A study by Elzaher in 2020 titled "Histological Effect of Platelet Rich Plasma on CCL4 Induced Liver Fibrosis in Adult Albino Rat" found that PRP therapy resulted in clear histological improvements in liver structure, including seemingly normal hepatocytes with acidophilic cytoplasm and vesicular nuclei. Additionally, this study found a significant increase in the average number of Proliferating Cell Nuclear Antigen (PCNA) in rats treated with PRP, which also increased the number of mitotic cells. [7] Matsuo et al investigated the effect of platelet transfusion on liver regeneration in 2011 by transfusing PRP into rats after 70% partial hepatectomy. In this study, PRP administration increased the liver-to-body weight ratio and the Ki-67 hepatocyte labeling index at 24 hours without damaging the liver. Ki-67 is one of the immunohistochemical assessments to determine the rate of cell mitosis.
These results indicate that PRP has a positive impact by accelerating liver regeneration after hepatectomy through increased mitotic activity [8]. Different results were found by Aydin et al in 2019 in their study involving 34 Wistar albino rats, which stated that PRP decreased all oxidative-antioxidant parameters in rats undergoing liver regeneration but did not improve the histopathological tissue of the liver [4].
This research was an experimental study with a post-test only control group design approach using white rats (Wistar strain) as the research object. This research was conducted at the Padang and INA Lab Laboratory Biomedical Laboratory, Faculty of Medicine, Andalas University. The population of this study were white male Wistar rats (Rattus norvegicus) aged 8 weeks with a body weight of 200-300 grams. Based on criteria of the World Health Organization (WHO), the minimum samples in the animal trial are five rats for each group [1,3]. We used six rats for each group. Inclusion criteria for rats were Rattus norvegicus Wistar strain, male, in health condition, aged 8 weeks, body weight 200-300 grams and no anatomical disorders. The research materials were Platelet Rich Plasma (PRP).
Methods of Hepatic Resection
The research procedure began with the acclimatization of the 20 Wistar rats (Rattus norvegius). General anesthesia using ketamine and intramuscular injection of antibiotics then Laparotomy was performed with an upper midline incision. The left lateral and middle lobes were tied with 4/0 silk thread then 70% hepatectomy technique by Higgins and Anderson was performed so that only the right lobe and caudate lobe remained. After checking for bleeding, the abdominal wall was closed according to its anatomy.
PRP Preparation
Six rats were used to obtain PRP. PRP material was taken from 100 ml of blood of 1 healthy human donor. The blood used is mixed with sodium citrate into a test tube and centrifuged to separate the platelet concentrate qualitatively and quantitatively and then after entrifugation it will be divided into 3 layers, namely the first fraction of erythrocytes, PRP and PPP (Platelet poor plasma).
Experimental Steps
After that, samples were taken by resected the hepar and then intraperitoneal PRP injection every day 1cc / Kgbb given for 3 days (which was done after abdominal closure). Samples were divided into 3 groups including sham procedure, control (partial hepatectomy without PRP), animal trial (partial hepatectomy with PRP). After 72 hours, all rats were laparotomized again and hepatic samples were taken to examine histopathology. 2.4 Microscopic Features After 3 days, re-laparotomy was performed on all rats in the old incision section with anesthesia. Liver tissue is placed buffered formaldehyde 10% for histopathological examination.
This study is a type of experimental research with a post-test only design test only design conducted at the INA Padang laboratory during the period April-May 2023. This study included 18 rats which were divided into three groups Animals trial with PRP (Hepatectomy + PRP), Control group (Hepatectomy without PRP), and Sham Procedure group (NoHepatectomy) (Table 1).
Sample Characteristic
|
Sample |
Mitotic Index % |
|||||
|
Rats 1 |
Rats 2 |
Rats 3 |
Rats 4 |
Rats 5 |
Rats 6 |
|
|
Sham |
0.1 |
0 |
0 |
0.1 |
0 |
0 |
|
Control |
0.3 |
0.3 |
0 |
0.3 |
0.4 |
0.3 |
|
Animals trial with PRP |
1.2 |
0.6 |
0.8 |
0.5 |
0.5 |
0.6 |
Table 1: Overview of mitotic index in samples.

From the results of the study, the mean mitotic index in rats that were not given PRP was 0.26. The average mitotic index in rats that were given PRP was 0.26. PRP is almost twice the average of non-PRP rats, which is 0.7. The mitotic index of rat hepatic tissue that was not subjected to hepatectomy is shown, where the mitotic index is found to be the smallest compared to the resected hepatic tissue compared to the resected hepar (Tables 2,3).
|
Sample |
Inflammatory cell count |
|||||
|
Rats |
||||||
|
Rats 1 |
Rats 2 |
Rats 3 |
Rats 4 |
Rats 5 |
Rats 6 |
|
|
Controls |
52.2 |
52 |
58.6 |
61.4 |
77.8 |
50.8 |
|
Animals trial with PRP |
128 |
137 |
116 |
58.8 |
58.4 |
106.8 |
Table 2: Overview Inflammatory cell count of in samples.

|
Sample |
Blood vessel count |
|||||
|
Rats |
||||||
|
Rats 1 |
Rats 2 |
Rats 3 |
Rats 4 |
Rats 5 |
Rats 6 |
|
|
Controls |
3.2 |
4.8 |
3.6 |
1.8 |
4 |
2.2 |
|
Animals trial with PRP |
6.4 |
13.4 |
3.6 |
5.8 |
5.8 |
8.8 |
Table 3: Overview Blood vessel count of in samples.

Mean number number of inflammatory cells and the number of blood vessels were also found to be twice as high compared to non-PRP mice at 100.8 and 7.3 (Figure 1-3 and Table 4).

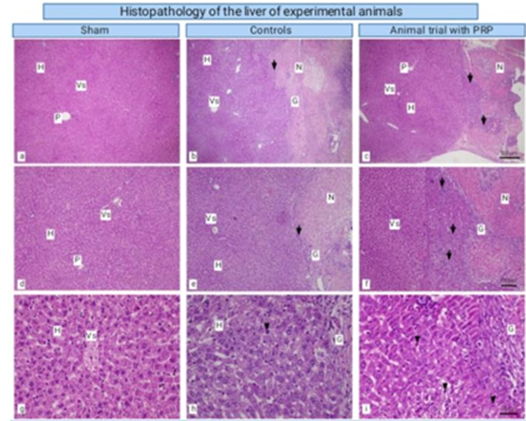
Figure 1: Photomicrograph of hepatic tissue of experimental animals showing hepatocytes (H) arranged in lobules, central vein (Vs), portal area (P). Sham control group (a, d, g). Post-hepatectomy positive control animals (b, e, h), Hepatectomy treatment with PRP administration (c, f, i). Hepatectomy treatment showed excision margin area with bleeding, necrosis of residual hepatocytes (N), regeneration area (↓) with hepatocytes having large nuclei, increased N/C ratio, and granulation area (G) with fibroblasts, leukocyte cell distribution and neovascularization. PRP treatment showed a larger area of hepatocyte regeneration, accompanied by more cell mitotic activity (?) than the control without PRP. The area of granulation tissue in PRP treatment appeared higher, with more inflammatory cells and blood vessels than the control without PRP. Hematoxylin eosin. Top panel original magnification 40x, middle panel original.

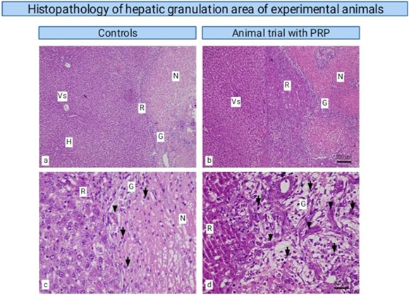
Figure 2: Photomicrograph of hepatic tissue of experimental animals at the post-hepatectomy margin area showing post-hepatectomy necrosis area, (N) hepatocyte regeneration area (R), and granulation tissue (G). Granulation tissue contains fibroblast cells, scattered leukocytes (↓) and neovascularization (?). Post-hepatectomy positive control animals (a, c), Hepatectomy treatment with PRP administration (b, d). PRP administration showed larger granulation tissue area with higher leukocyte cell infiltration (↓), fibroblast proliferation and more blood vessels (?) than the control without PRP. Hematoxylin eosin. Top panel 100x original magnification. bottom panel 400x original magnification.

Figure 3: Micrographs of hepatic tissue (a-c) and Ki-67 immunohistochemistry (d-f). Hepar of experimental animals showing hepatocytes (H) arranged in lobules, central vein (Vs), portal area (P). Sham control group (a, d). Post hepatectomy positive control animals (b, e), Hepatectomy treatment with PRP administration (c, f). Hepatectomy treatment shows excision margin area with hemorrhage, necrosis (N), regeneration and granulation area (G) with neovascularization (↓) leukocyte cell distribution. As well as Ki-67 expression (?). PRP administration showed more extensive regeneration, higher Ki-67 expression than the control without PRP. Original magnification 40x. Scale 100µm.
|
Group |
Mitotic Index (%) (Median) |
p-value* |
|
Sham |
0 |
|
|
Control |
0.3 |
0.001 |
|
Animal trial with PRP |
0.6 |
*Kruskall Wallis
Table 4: The relationship of Platelet Rich Plasma (PRP) use to healing of resected hepatic tissue in experimental animals (white rats).
After normality test with Saphiro wilk, it was found that the data was not normally distributed. Normal distribution, so an alternative Kruskall Wallis test was conducted to assess the the effect of using PRP on the healing of resected hepatic tissue. From the Kruskall Wallis test, it was found that the effect of PRP was significant on the healing of resected hepatic tissue. healing of resected rat hepatic tissue where the average mitotic index index was found to be the highest compared to the positive control and negative control groups.and the p value was found <0.05 (Table 5).
|
Group |
Proliferation index Ki-67 (%) (Median) |
p-value* |
|
Sham |
9.3 |
|
|
Control |
105 |
0.003 |
|
Animal trial with PRP |
129.9 |
*Kruskall Wallis
Table 5: The relationship of Platelet Rich Plasma (PRP) use to healing of resected hepatic tissue in experimental animals (white rats).
In this study, the average mitotic index in the sham procedure with intact liver was 0.03. The same thing was found by Elchaninov in 2018 who compared normal liver regeneration with post-resection liver stimulated by multipotent stromal cells. In this study, intact and untreated livers had a mitotic index of around 9% on the 3rd day of observation [9]. The liver is a highly differentiated organ with a major role in metabolism, detoxification and systemic homeostasis. Because of its function in neutralizing toxins, the liver parenchyma is often exposed to toxins that promote cell death. To tolerate this, the liver has a very good ability to repair itself by entering the cell cycle again and conducting mitosis, therefore even though there is no physical injury, the liver continues to regenerate which is shown through the presence of detected mitosis, even though the mitotic rate is not as high resected liver tissue [10].
In the group that underwent hepatectomy without PRP, the mitotic index was 0.26. Cilekar et al in 2013 conducted a study on resected livers and a mitotic index of 0.3 in regenerating livers after 72 hours, where this value is almost the same as that found in this study [5]. Research by Karadeniz in 2019 found that the mitotic rate in resected rat livers was greater using staining with immunohistochemistry, which was 10%, while in this study it was carried out using H&E so that the mitotic rate detected was much less [11]. This study found an average mitotic index in rat given PRP more than doubled the average mitotic index of non-PRP rat, which was 0.7. This is because many growth factors are secreted so that mitoses in PRP are found to be higher. After a partial hepatectomy, platelets accumulate in the remaining liver and release their granular contents. Molecules contained in platelets, such as HGF, VEGF, IGF1 and serotonin will stimulate hepatocyte proliferation. Provision of PRP which is rich in platelets will certainly produce more of these molecules thereby increasing the hepatic mitotic index [12].
In this study also assessed angiogenesis and inflammation in the liver of rats that had been resected and found that there was activity of angiogenesis and inflammation on the third day of observation where the levels were higher in the PRP group. The presence of angiogenesis and increased inflammatory cells after hepatectomy has been mentioned in previous studies. Research by Zafarnia et al in 2019 found that there was an increase in the density of CD68 macrophages detected from day 4 to day 8 and decreased from day 14 to 21. Immunohistochemistry in the study also found that angiogenesis activity increased until day 3 and decreased starting on the 4th day after partial hepatectomy and continued to decrease thereafter, whereas CD169 macrophages did not change [13]. Both of these also play a role in healing the resected liver. It has been mentioned previously that liver regeneration occurs in several stages, namely the primary stage, proliferation, and termination stage. In the primary stage, the biological response isdominated by inflammatory activity with the most important cytokines being TNF-α and IL-6.
Hepatic macrophages are the main source of TNF-α and IL-6 through the NF-κB signaling pathway so that immediately after hepatic resection, these cells will increase in number to produce inflammatory cytokines that support regeneration [14]. In this study, the number of inflammatory cells was found to be twice as large fold in the PRP group. Nishio et al in their research entitled "Platelet-rich plasma promotes recruitment of macrophages in the process of tendon healing" in 2020 stated that PRP increased the recruitment of macrophages to injured tissue areas where this study explained the reason for more inflammatory cells being found in this study in group PRP [15]. After tissue loss occurs, the population of liver cells regenerates. This regeneration occurs in a coordinated pattern, first through parenchymal (hepatocyte) regeneration, which then produces Vascular Endothelial Growth Factor (VEGF) to trigger the angiogenic phase of new vessel formation and expansion of existing blood vessels. Fluctuations of oxygen after tissue loss contribute to hepatocyte signaling that triggers VEGF production [16]. In this study, the number of blood vessels was doubled in the PRP group. This is because PRP is an autologous plasma product that contains three to five times more platelets than basal plasma levels and contains autologous growth factors such as VEGF which contribute to the process of angiogenesis.4 A study by Uda et al in 2013 stated that liver regeneration after hepatectomy was highly correlated with angiogenesis [17]. Drixler et al also stated that in regenerated liver, microvascular density increased by 38% and concluded that liver regeneration is an angiogenesis dependent phenomenon [18]. Due to this increase more blood vessels in the PRP group indicating higher angiogenesis in that group, this also supports the role of PRP in accelerating the healing of post-hepatectomy rat livers by increasing angiogenesis [4].
This study found the effect of PRP on the healing of resected rat livers. This was shown by the mitotic index which was found to be the highest in the PRP rat group. These results support previous research. Pereyra et al. in 2020 concluded that higher platelet activity contributes well to liver regeneration which is consistent with the finding in this study that PRP causes the highest mitotic rate in resected livers [19]. Takashi et al. 2013 also stated that platelet therapy is a new strategy for regeneration, anti-fibrosis and anti-apoptosis of the liver. In this study the agents used were thrombopoietin, a thrombopoietin receptor agonist and platelet transfusions. In this study, platelet rich plasma was used, an agent that is simpler and easier to obtain for administration to rats. Liang et al in 2021 stated that thrombocytosis stimulates liver graft regeneration and its survival and Kupffer cells greatly contribute to platelet derived regeneration. The study concluded that platelet therapy to increase perioperative platelet countsmay improve outcomes after living donor liver transplantation [20].
Research by Murata et al in 2007 entitled "Platelets Promote Liver Regeneration in Early Period after Hepatectomy in Mice" in mice induced for thrombocytosis using pegylated recombinant human megakaryocyte growth and development factor and found that after hepatectomy, platelets accumulate in the sinusoids of the liver and promote hepatocyte proliferation in the early period after hepatectomy. This study assessed the healing of liver tissue using a variable ratio of liver weight/body weight in rats and the highest value was obtained in mice with thrombocytosis [21]. Further research in 2008 by Murata entitled “Platelets Promote Liver Regeneration under Conditions of Kupffer Cell Depletion after Hepatectomy in Mice” obtained the highest mitotic index in the Thrombocytosis group, which was 0.68 which was similar to this study which obtained 0.7 [22]. Another study by Lopez et al in 2013 entitled "Platelets increases survival in a model of 90% hepatectomy in rats” found that there was no effect of PRP administration on the mitotic index of the resected liver. The study used PRP which was included in the capsule so that there was no direct contact between the platelets and the regenerating liver cells. However, despite this, this study found a paracrine benefit of platelets on liver cells whereby platelets increased the survival rate in rats that underwent liver resection by 90% [23]. Platelets contain three types of granules: alpha granules, dense granules and lysosomal granules. Each granule contains various growth factors, cytokines and other physiological substances. Platelets trigger a wide range of biological responses such as hemostasis, wound healing and tissue regeneration. Its regenerative effect on the liver consists of three mechanisms: a direct effect on hepatocytes, a cooperative effect with hepatic sinusoidal endothelial cells, and a collaborative effect with Kupffer cells. Much of the signal transduction is related to hepatocyte proliferation. One of them is the activation of Akt and extracellular signal-regulated kinase (ERK)1/2, which results from direct stimulation of growth factors in platelets. The others are STAT3 by IL-6 derived from hepatic sinusoidal endothelial cells and Kupffer cells, which are stimulated by contact with platelets during liver regeneration [24]. Another mechanism of the effect of platelets on liver regeneration is via serotonin. Serotonin (5 hydroxytryptamine, 5-HT) is not only a neurotransmitter but also a hormone with multiple extraneuronal functions where it is a potentmitogen and modulates tissue remodeling. Platelets carry serotonin in the blood and release it at the site of tissue injury while carrying out hemostasis [25]. As, the result There is a significant association between intraperitoneal administration of PRP and increase of hepatocyte mitotic index (p = 0.001) and there is also significant association between giving intraperitoneal administration of PRP and increase of Ki-67 proliferation index (p< 0.03) of the rats after partial hepatectomy.
We are inviting experienced researchers, academicians, and clinical experts to become part of our Editorial Board. Your valuable contribution will strengthen the journal’s academic excellence and global recognition.
Contact Us TodayReady to publish your research? Submit your manuscript and share your findings with the global surgical community.
Submit Now